足部疼痛知多少?
Apr 21. 2020
足部疼痛知多少?
足部是人類健康的基石,人們常因為工作的關係需要長時間的站立與行走,如果沒有好好的照顧雙腳,常常會因為過度疲勞
或是由於足底壓力的不平均,產生難以回復的後遺症,常見的足部問題有:

建議如有上述問題時可以洽詢專業骨科,復健科醫師,詳細檢查分析,早期預防以免成為更嚴重的問題影響日常生活!!
你有扁平足嗎?主要症狀-足弓塌陷-足跟外翻
大多數的扁平足初期都是柔軟式的扁平足。因為工作、久站、走路、肥胖等因素,使足部受力不均,使得足底結構疲乏扁平而平貼於地面,內側足弓塌陷,無法吸震,於是成為扁平足。
而如果不給予足弓適當的支撐與訓練,使其長期承受壓力,將造成永久的足型外觀改變,型成僵硬式扁平足。此時足底持續疼痛,步態不穩,運動時容易絆倒,腿部酸痛,甚至造成脊椎側彎等後遺症。
所以如果能及早注意自己是否有扁平足初期的症狀,早期針對足部選用合適具有足弓支撐的鞋子或鞋墊,將可使問題及早解決,以免後續的困擾。

預防扁平足的好選擇 -- 足弓鞋墊
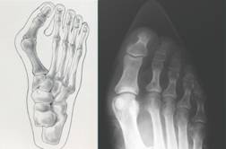
高跟鞋與拇指外翻的恩怨情仇

好發於老年人的腳拇指外翻,隨著女性高跟尖頭鞋流行,不少年輕「美眉」為拇指外翻所苦,有人外翻角度直逼六十度,得動刀解除痛苦;骨科專業醫師表示, 建議女性穿尖頭鞋加裝墊片,分散拇指壓力。
腳拇指外翻是指大拇指的骨頭向外側翻,嚴重的話,影響第二指,甚至第三指,患者一穿鞋,腳指摩擦,痛到無法走路,得開刀解決。
腳拇指外翻男女有別,男性多屬運動傷害造成,女性則和高跟、尖頭鞋有關,當然,走路姿勢不正確,也可能導致拇指外翻,但是,近來多起腳拇指外翻的女性患者,和穿著高跟的尖頭鞋有關。
建議女性朋友,非得穿著尖頭鞋不可,不妨在鞋子加裝墊片,避免走路時,壓力集中腳拇指,導致拇指變形。夜間睡眠時建議可使用拇指外翻矯正器,如此至少可以避免更嚴重的惡化產生。
|
| 預防拇指外翻的秘密武器
|
|
| 大拇指分隔墊 | 大拇指內側保護墊 | 拇指外翻矯正器 |
關於小雞眼/硬皮的治療
雞眼與硬皮只是足部局部增生的角質層。許多人都有在藥局購買水楊酸雞眼貼布的經驗。
然而根據皮膚專科醫師表示,使用雞眼貼布通常會一次破壞表皮與真皮組織,對於皮膚的傷害是很大的,而如無根本的改善局部壓力點的情形,只是暫時治標,同一個患處將會再生增生角質,對於患處改善並無幫助。
選用合腳舒適的鞋子或搭配坊間有販售的雞眼墊,局部將增生摩擦點利用矽膠墊隔開,讓皮膚自然代謝改善角質增生情形才是真正治本的辦法。如症狀嚴重必要時請洽專業醫療院所使用電療或小手術治療。

改善小雞眼/小硬皮的小道具



